This patient died at night of "Torsade de Pointe" like polymorphous Ventricular TAchycardia wearing a Holter recording for pulse abnormality waiting for an EP study planed on the next morning (the top image has been modified by addition of the ECG on the right).
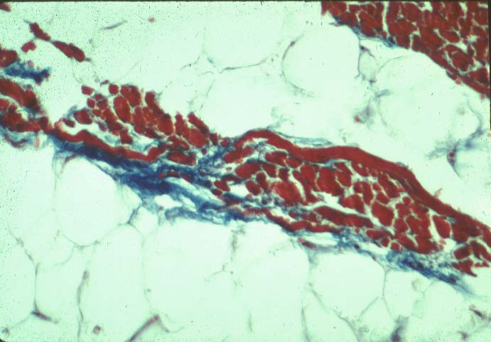
This is an interesting example of fibrofatty replacement of myocardium of the patient who died at night of Torsade de Pointe like with typical ARVD presented on top of this slide.

The top histologic document shows thin interstitial fibrosis bordering a strand of cardiomyocytes inside of major replacement of myocardium by fatty tissue.
ReplyDeleteNote that :
1. Fibrosis is located on one side of the surviving fiber.
2. There is no fibrosis inside fatty tissue
This suggests that fibrosis is a secondary phenomenon occuring after fatty transformation
Hypothesis to explain fibrosis :
1. Ischemic phenomenon related to abnormal distal coronary vessels (small vessel disease) as also observed in HCM
2. Sequel of healed minor myocarditis